Consultation dentaire Casablanca extraction dent BRUXIME Sensibilité dentaire

Pourquoi le bruxisme est un trouble sérieux et souvent sous-estimé

Le bruxisme est l’un des troubles dentaires les plus fréquents, mais aussi l’un des plus méconnus. Beaucoup de personnes serrent ou grincent des dents sans même s’en rendre compte — parfois pendant des années — jusqu’au jour où les dommages deviennent visibles : dents cassées, usure sévère, douleurs articulaires, migraines quotidiennes, troubles du sommeil, tension musculaire, fatigue au réveil…

Le bruxisme est un trouble neuromusculaire involontaire. Il peut survenir :

  • pendant la nuit (le plus fréquent)
  • le jour, souvent lié au stress
  • de manière consciente ou inconsciente
  • avec ou sans douleur immédiate

La majorité des patients ignorent qu’ils souffrent de bruxisme jusqu’à ce qu’un dentiste le détecte. Au Centre Dentaire Oxford Casablanca, nous voyons quotidiennement des cas de bruxisme non diagnostiqués, parfois depuis plusieurs années, ayant causé des dommages importants.

Dans cet article extrêmement complet, nous allons explorer :

✔ les types de bruxisme
✔ les causes réelles (pas seulement le stress)
✔ les symptômes visibles et invisibles
✔ les complications à long terme
✔ les traitements modernes (gouttières, orthodontie, Botox, thérapie musculaire…)
✔ les conseils pratiques pour réduire les crises
✔ les meilleures solutions adaptées à chaque profil

Ce guide est un outil d’information professionnel basé sur des sources médicales fiables.

Facette Dentaire gencives saignent
bruxisme

⭐1. TYPES DE BRUXISME : comprendre le comportement de vos dents

Le bruxisme se présente sous plusieurs formes.

1.1. Bruxisme nocturne (le plus courant)

Survient pendant le sommeil.
C’est involontaire.
Les muscles de la mâchoire se contractent puissamment.

Caractéristiques :

  • le patient n’en a pas conscience
  • grincement audible
  • réveils fréquents
  • tension musculaire au réveil
  • usure importante des dents

1.2. Bruxisme diurne (stress-related bruxism)

Ce type se produit pendant la journée.

Causes fréquentes :

  • stress
  • concentration intense
  • posture tendue
  • anxiété

Le patient serre les dents, parfois sans s’en rendre compte.


1.3. Bruxisme centré (serrement)

La force exercée est verticale.
Aucun bruit, mais une pression énorme.

Ce type est extrêmement destructeur pour les dents.


1.4. Bruxisme excentré (grincement)

Les dents frottent horizontalement → usure rapide de l’émail.


⭐2. LES SYMPTÔMES DU BRUXISME

Ces symptômes peuvent toucher :

✔ les dents
✔ la mâchoire
✔ les muscles
✔ les articulations
✔ la tête
✔ le cou et les épaules

Voici les signes à surveiller :

bruxisme

2.1. Symptômes dentaires

  • dents usées, raccourcies
  • bords cassés
  • fissures ou microfractures
  • sensibilité au froid
  • douleurs en mastiquant
  • fractures des restaurations (plombages, couronnes)
  • perte de hauteur dentaire

2.2. Symptômes musculaires

  • mâchoires douloureuses au réveil
  • fatigue musculaire
  • contraction involontaire
  • douleur en ouvrant la bouche

2.3. Symptômes articulaires (ATM)

  • claquement
  • craquement
  • douleur à l’ouverture
  • restriction de mouvement
  • blocage occasionnel

2.4. Symptômes crâniens

  • migraines fréquentes
  • maux de tête au réveil
  • tension dans les tempes

2.5. Symptômes psychologiques

  • stress accru
  • sommeil non réparateur
  • irritabilité

⭐3. LES CAUSES DU BRUXISME : bien plus que le stress

3.1. Stress et anxiété

La cause la plus connue, mais pas la seule.


3.2. Troubles du sommeil

  • apnée du sommeil
  • ronflement
  • sommeil fragmenté

3.3. Malocclusion (mauvais alignement des dents)

Un mauvais contact entre les dents peut stimuler le serrage.


3.4. Facteurs génétiques

Le bruxisme peut être héréditaire.


3.5. Médicaments

Certains antidépresseurs peuvent provoquer du bruxisme.


3.6. Hyperactivité du système nerveux central


3.7. Consommation de stimulants

  • café
  • thé
  • alcool
  • nicotine

⭐4. RISQUES ET COMPLICATIONS : les dégâts du bruxisme

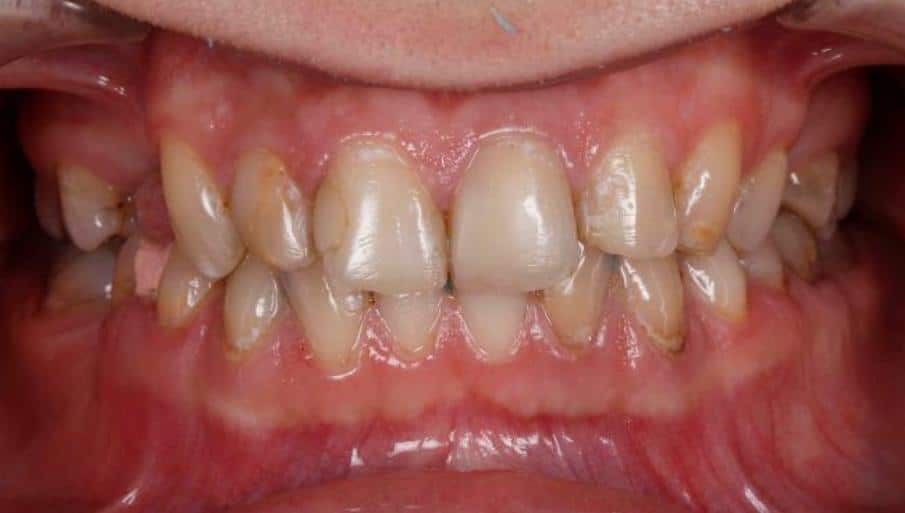
4.1. Usure sévère des dents (attrition)

Les dents deviennent plates, raccourcies, jaunes (dentine exposée).


4.2. Fractures dentaires

Les dents affaiblies se cassent plus facilement.


4.3. Perte de matière dentaire

Irréversible.


4.4. Rétraction gingivale

Due aux forces excessives.


4.5. Douleurs articulaires (ATM)

Arthrose, inflammation, claquements.


4.6. Maux de tête chroniques

Provoqués par la tension musculaire.


4.7. Problèmes esthétiques

Vieillissement prématuré du sourire.


⭐5. DIAGNOSTIC DU BRUXISME AU CENTRE DENTAIRE OXFORD

5.1. Analyse de l’usure

5.2. Palpation musculaire

5.3. Mesure de la force masticatoire

5.4. Imagerie (scanner, panoramique)

5.5. Détection des troubles ATM


⭐6. BRUXISME TRAITEMENT : LES SOLUTIONS MODERNES

6.1. Gouttière de relaxation sur mesure

Le traitement numéro 1.

Avantages :

  • protège les dents
  • relaxe les muscles
  • diminue le stress nocturne
  • réduit les migraines
  • évite les fractures

6.2. Orthodontie

Corrige l’origine mécanique du bruxisme.


6.3. Physio maxillo-faciale

Relaxation et rééducation musculaire.


6.4. Traitement de l’ATM

Anti-inflammatoires, thérapie manuelle.


6.5. Injection de Botox dans les masséters

Réduit la force musculaire → très efficace pour les cas sévères.


6.6. Gestion du stress

Relaxation, respiration, thérapie brève.


⭐7. CONSEILS QUOTIDIENS

  • éviter les chewing-gums
  • limiter café et alcool
  • relaxation avant le sommeil
  • posture correcte
  • éviter le serrement conscient

⭐Conclusion

Le bruxisme est un trouble sérieux, destructeur, mais parfaitement traitable. Une gouttière sur mesure et une prise en charge globale permettent d’éviter les complications les plus graves.

source : World Health Organization

Consultation Dentaire Sans Rendez-vous 2025

Leave a Comment

Your email address will not be published. Required fields are marked *