Introduction – Pourquoi choisir un détartrage à Casablanca ?
Le détartrage à Casablanca est bien plus qu’un simple nettoyage de dents : c’est un soin préventif essentiel pour préserver votre santé bucco-dentaire. Avec le temps, la plaque dentaire s’accumule et se transforme en tartre, pouvant entraîner des problèmes comme la gingivite, la mauvaise haleine et les caries. Si le tartre n’est pas traité à temps, il peut provoquer des dommages irréversibles à vos dents et à vos gencives.
Au Centre Dentaire Oxford Casablanca, nous avons développé une approche complète du détartrage à Casablanca, combinant savoir-faire médical et technologies avancées. Notre objectif : offrir un soin efficace, rapide et indolore tout en garantissant le confort de chaque patient. Que vous souhaitiez simplement prévenir l’accumulation de tartre ou traiter des dépôts plus importants, notre équipe d’experts s’occupe de vous avec professionnalisme et attention.
Nos Localisation : Google Maps
Pourquoi choisir le Centre Dentaire Oxford pour votre détartrage à Casablanca ?
Le choix d’un centre dentaire professionnel est essentiel pour un détartrage efficace et sûr. Au Centre Dentaire Oxford, nous nous distinguons par :
Des dentistes qualifiés et expérimentés : chaque patient bénéficie de soins personnalisés réalisés par des experts.
Des techniques modernes et indolores : nous utilisons les dernières technologies pour un traitement rapide et confortable.
Un environnement sûr et hygiénique : votre santé et votre sécurité sont notre priorité absolue.
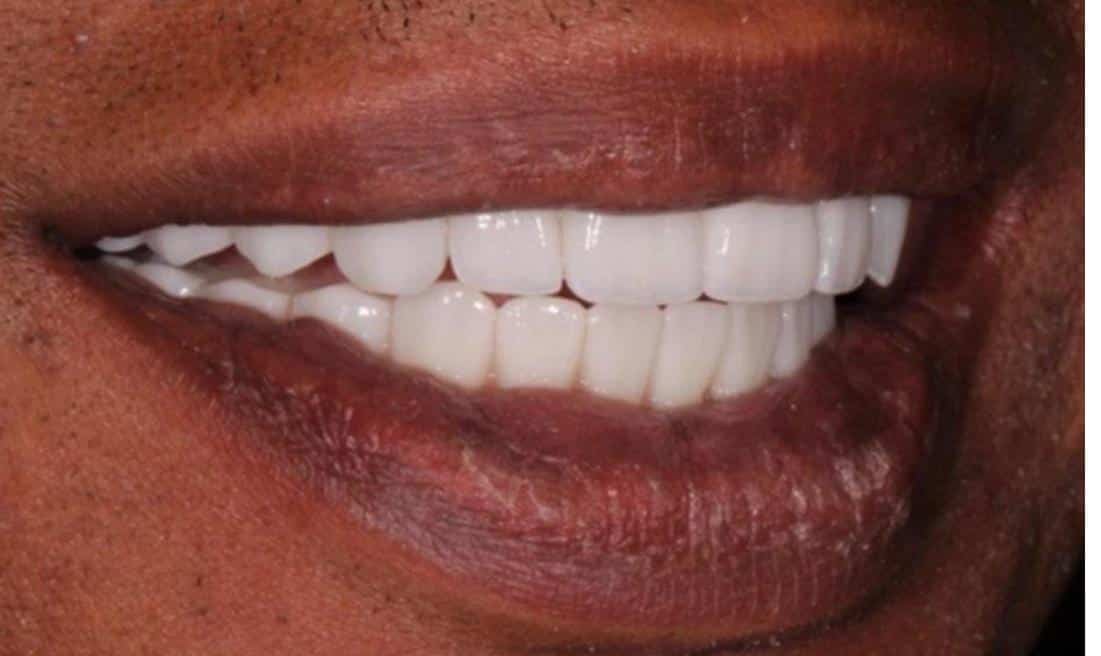
Résultats immédiats et durables : après le détartrage, vos dents sont visiblement plus propres et votre sourire plus éclatant.
Accompagnement personnalisé : conseils et suivi adaptés à vos besoins pour prévenir la réapparition du tartre.
Prenez rendez-vous dès aujourd’hui pour un détartrage à Casablanca et redécouvrez le plaisir d’un sourire sain et éclata
Comment se déroule votre détartrage à Casablanca ?
Le processus de détartrage à Casablanca au Centre Dentaire Oxford est simple, clair et conçu pour votre confort. Voici les étapes détaillées :
Diagnostic complet et personnalisé
Chaque détartrage commence par une analyse minutieuse de votre santé bucco-dentaire. Nos dentistes examinent vos dents et vos gencives, identifient les zones où le tartre est le plus présent et évaluent les éventuels risques de caries ou d’inflammation.Planification du traitement
En fonction de votre diagnostic, nous adaptons le traitement à vos besoins. Certaines zones peuvent nécessiter un nettoyage approfondi, tandis que d’autres seront simplement polies pour éliminer les dépôts légers. Nous vous expliquons chaque étape pour que vous soyez parfaitement informé.Détartrage professionnel
Le détartrage à Casablanca est réalisé à l’aide d’outils ultrasoniques et manuels de pointe. Cette méthode permet de retirer efficacement le tartre même dans les zones difficiles d’accès. Le traitement est rapide, sûr et presque indolore, avec un confort maximal pour chaque patient.Polissage et finition
Après l’élimination du tartre, vos dents sont polies pour rendre la surface lisse, réduire l’accumulation future de plaque et redonner à votre sourire tout son éclat naturel.Suivi et conseils d’hygiène
Pour prolonger les résultats du détartrage, notre équipe vous donne des conseils personnalisés sur le brossage, l’utilisation du fil dentaire et l’alimentation. Nous planifions également vos rendez-vous de contrôle pour garantir un sourire sain durablement.

