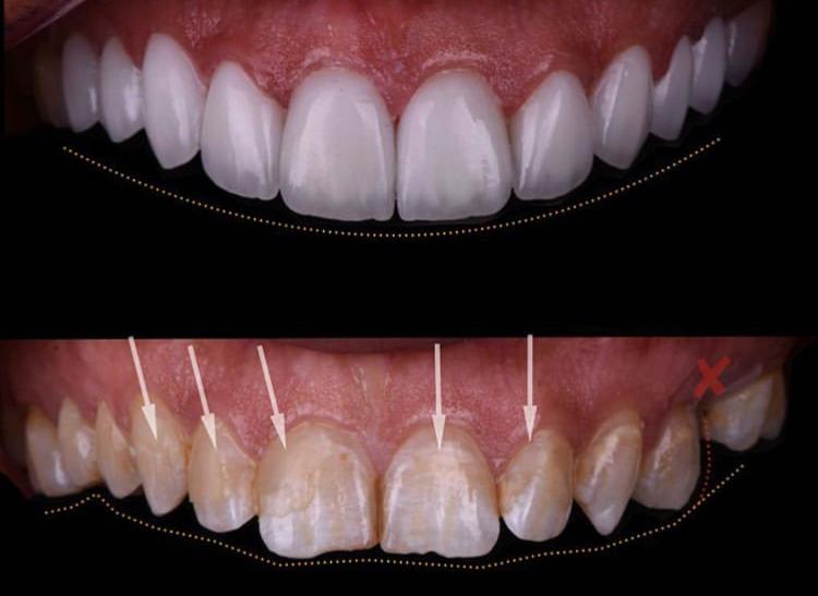
La technologie CAD/CAM dentaire (Conception Assistée par Ordinateur / Fabrication Assistée par Ordinateur) représente une véritable révolution dans le domaine de l’odontologie moderne. Elle permet de concevoir et de fabriquer des prothèses dentaires avec une précision, une rapidité et une personnalisation inégalées. Grâce à ce système numérique avancé, toutes sortes de restaurations – qu’il s’agisse de couronnes, bridges, facettes ou inlays/onlays – peuvent être réalisées en quelques heures, avec un ajustement millimétrique qui garantit non seulement la fonctionnalité et le confort, mais également une esthétique parfaitement naturelle.
Au Centre Dentaire Oxford à Casablanca, nous exploitons la technologie CAD/CAM pour offrir à nos patients des solutions sur mesure, fabriquées dans des matériaux de haute qualité comme la zircone ou la céramique pressée. Cette approche permet de réduire considérablement les délais de traitement par rapport aux méthodes traditionnelles tout en assurant une adaptation parfaite à la dentition existante. Chaque restauration est modélisée en 3D à partir d’empreintes numériques obtenues grâce à un scanner intra-oral de dernière génération, ce qui permet une précision chirurgicale et un confort optimal pour le patient.
Outre sa précision, le CAD/CAM minimise les risques d’erreurs liés aux méthodes manuelles et assure un rendu esthétique harmonieux, avec des formes et des couleurs parfaitement intégrées au sourire naturel du patient. De plus, cette technologie facilite l’ajustement des restaurations et permet au praticien de visualiser et corriger chaque détail avant même la fabrication, garantissant ainsi une qualité et une durabilité supérieures. L’ensemble du processus est non seulement rapide et fiable, mais il est aussi confortable et sûr pour le patient, réduisant le nombre de rendez-vous nécessaires et améliorant considérablement l’expérience globale du soin dentaire.
En résumé, le CAD/CAM dentaire au Centre Dentaire Oxford combine innovation technologique, confort, esthétique et précision, offrant à chaque patient des restaurations parfaitement adaptées à leurs besoins fonctionnels et esthétiques, tout en assurant une durabilité maximale et un résultat visuel naturel.
Nos Localisation : Google Maps

