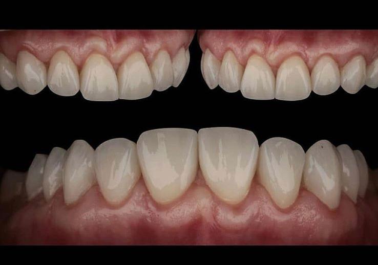
La pose de facettes dentaires est une solution esthétique de pointe qui permet de transformer radicalement le sourire en corrigeant durablement une variété de défauts dentaires, qu’il s’agisse de dents tachées, usées, légèrement déformées, mal alignées ou présentant des irrégularités de forme. Ces fines couches, fabriquées en céramique ou en composite, sont collées avec précision sur la face visible des dents, leur redonnant ainsi éclat, uniformité et harmonie. Cette technique, non invasive, évite le recours à des traitements plus lourds comme les couronnes, en préservant au maximum la structure naturelle des dents.
Les facettes dentaires représentent une option privilégiée pour les patients souhaitant améliorer rapidement et efficacement l’apparence de leur sourire. Elles offrent un résultat naturel, souvent imperceptible, qui s’intègre parfaitement à la morphologie du visage et à la teinte naturelle des dents environnantes. Adaptées aussi bien aux dents antérieures qu’à toutes les dents visibles lors du sourire, les facettes permettent de corriger des problèmes esthétiques divers tout en conservant la solidité et la santé des dents sous-jacentes.
Au Centre Dentaire Oxford à Casablanca, nous mettons à votre disposition une expertise reconnue dans la pose de facettes dentaires, avec un accompagnement personnalisé dès la première consultation. Nous utilisons des technologies numériques avancées, telles que la prise d’empreintes numériques 3D et la simulation esthétique du sourire, qui permettent au patient de visualiser précisément le rendu final avant même le début du traitement. Cette approche innovante assure une parfaite adéquation entre vos attentes esthétiques et les résultats obtenus, tout en facilitant la communication entre le patient et l’équipe soignante.
Les matériaux utilisés pour la fabrication des facettes sont rigoureusement sélectionnés pour leur résistance mécanique, leur biocompatibilité et leur rendu esthétique naturel. Les facettes en céramique, particulièrement appréciées pour leur durabilité et leur translucidité proche de l’émail naturel, garantissent un sourire éclatant et durable. Les facettes en composite, quant à elles, sont une alternative plus économique et rapide, tout en offrant une correction efficace des défauts esthétiques. Chaque facette est conçue sur mesure par des laboratoires spécialisés, assurant un ajustement parfait, un confort optimal, ainsi qu’une intégration esthétique harmonieuse avec les dents adjacentes.
En choisissant le Centre Dentaire Oxford, vous bénéficiez également d’un suivi attentif post-traitement pour garantir la pérennité de vos facettes et préserver la santé de votre bouche. Nos experts vous accompagnent avec des conseils personnalisés en matière d’hygiène bucco-dentaire et de prévention, afin que votre sourire reste éclatant et sain sur le long terme.
Nos Localisation : Google Maps

